山楂对于治疗女性产后腹痛、月经失调闭经、子宫颈癌都有一定药用价值。由于生山楂对于肠胃的刺激性较大,女性最好将山楂煮熟后再食用,还应充分控制山楂食用量,不可过多食用。...
黄芪红枣泡水疲劳衰弱,或更兼自汗、盗汗、面色无华、面肢浮肿等气血两虚者。若湿热内盛、肝火上炎出现口渴、口苦、目赤、尿黄者,则不宜饮服。...
如今,女性朋友们所关心的已经不仅仅是脸蛋了,还关心着自己的身材,尤其是胸部丰满与否。接下来为大家介绍常见的有丰胸之功的茶。...
IVL易复发.成功治疗是预防复发的关键。对不能手术、手术中残留肿瘤和术后有复发高风险的患者,可选用他莫西芬治疗。...
IVL的治疗原则是手术彻底切除病变,这是成功治疗该病的关键,不但可以为患者消除症状,还可防止肿瘤的复发。...
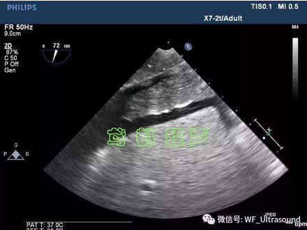
影像学检查不仅有助于IVL的早期诊断,还可为手术治疗提供充分的资料,对确定手术的范围及实施方案具有指导意义。...
静脉内平滑肌瘤病(IVL)的发病机制及临床表现。...
IVL易复发,尤其是肿瘤切除不完全者和保留卵巢者;复发时间长短不等,短者第一次手术后6个月,长者到术后30年。...
静脉内平滑肌瘤病(IVL)的治疗方法。...
IVL的确诊依靠病理镜下结果,本病主要与以下几种疾病鉴别。...
静脉内平滑肌瘤病较为罕见,临床无特殊症状,术前难以确诊。临床医师往往认识不足,容易误诊。...
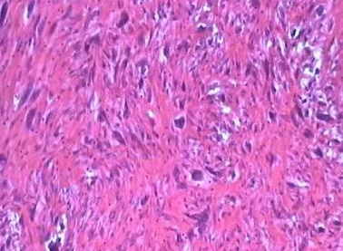
是指生长于静脉内的平滑肌瘤,几乎所有受累的血管均为静脉,仅少数可发生于淋巴管内,故又称脉管内平滑肌瘤,是一种较罕见的特殊类型的子宫平滑肌瘤病。...
静脉内平滑肌瘤病(intravenous leiomyomato-sis,IVL)是起源于子宫的一种特殊类型的良性平滑肌肿瘤....
静脉内平滑肌瘤极罕见,多见于45岁左右妇女。临床表现为不规则出血,腹部不适,盆腔包块;瘤栓可见于下腔静脉、肺内等。...
子宫粘膜下上皮样平滑肌瘤患者康复治愈案例...
上皮样平滑肌瘤较罕见。瘤细胞呈圆形或多角形,排列成群或条索状,类似上皮细胞,构成肌瘤的部分或全部。...
奇异型平滑肌瘤或称巨细胞平滑肌瘤也是一种罕见的病变。...
高分裂象平滑肌瘤的最大特点是,在显微镜下会发现它的细胞核不是正常的一个,而是分裂成几个。...
富于细胞型平滑肌瘤的外表与普通的子宫肌瘤十分相像,临床表现和大体观与普通肌瘤无区别,只有从显微镜下才就将它辨认出来。...
子宫肌痛恶变为肉瘤的机会很少。国外报道其发生率为0.2%~1%:国内报导在0.5%左右。...